پوسیدگی دندان ؛ علائم، دلایل و درمان

به گزارش پایگاه خبری اخبارخوب به نقل از همشهری آنلاین، آیا تا به حال دچار دندان‌درد ناگهانی شده‌اید یا هنگام نوشیدن مایعات سرد احساس ناراحتی کرده‌اید؟ این‌ها می‌توانند از نشانه‌های پوسیدگی دندان باشند؛ مشکلی شایع که در صورت بی‌توجهی می‌تواند به درد، عفونت و حتی از دست رفتن دندان منجر شود. پوسیدگی دندان نه‌تنها سلامت دهان را تهدید می‌کند، بلکه کیفیت زندگی و تغذیه را نیز تحت تأثیر قرار می‌دهد.

در این مقاله با تعریف ساده‌ای از علت پوسیدگی دندان شروع می‌کنیم و سپس به بررسی علائم، دلایل، روش‌های درمان و پیشگیری آن می‌پردازیم.

پوسیدگی دندان چیست؟

پوسیدگی دندان زمانی رخ می‌دهد که باکتری‌های دهان از قندهای موجود در غذا تغذیه کرده و اسید تولید می‌کنند. این اسید به مرور مینای دندان را تخریب کرده و باعث تشکیل حفره یا همان پوسیدگی می‌شود. اگر این روند متوقف نشود، لایه‌های داخلی دندان آسیب می‌بیند و عفونت گسترش پیدا می‌کند.

این فرآیند معمولاً از سطح خارجی دندان آغاز می‌شود و به تدریج به عاج و سپس مغز دندان می‌رسد. مغز یا پالپ دندان حاوی عصب‌ها و رگ‌های خونی است، بنابراین زمانی که پوسیدگی به این ناحیه برسد، درد شدید و گاه غیرقابل تحمل ایجاد می‌شود.

شناخت این مشکل از آن جهت اهمیت دارد که پوسیدگی اغلب بدون علامت شروع می‌شود و تنها در مراحل پیشرفته علائم آشکاری دارد. تشخیص زودهنگام می‌تواند از درمان‌های پرهزینه‌تر جلوگیری کند و به حفظ دندان‌ها کمک کند.

بیشتر بخوانید: آیا جرم گیری دندان ضرر دارد؟ بررسی عوارض احتمالی جرم گیری

علائم پوسیدگی دندان

پوسیدگی ممکن است در ابتدا هیچ علامتی نداشته باشد، اما با پیشرفت آن، نشانه‌های زیر ظاهر می‌شوند:

  • دندان‌درد مداوم یا گاه‌به‌گاه: درد خودبه‌خود یا در هنگام جویدن غذا، به‌ویژه غذاهای سفت یا چسبناک
  • حساسیت به سرما یا گرما: حساسیت دندان به‌ویژه هنگام نوشیدن مایعات سرد یا داغ، که معمولاً به صورت تیر کشیدن دندان احساس می‌شود
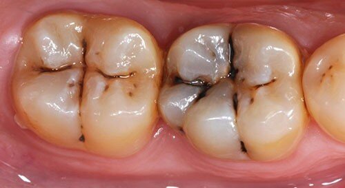
  • مشاهده لکه‌های قهوه‌ای یا سیاه روی دندان‌ها: این لکه‌ها ممکن است به مرور بزرگ‌تر شوند
  • بوی بد دهان یا طعم ناخوشایند مداوم: حتی پس از مسواک زدن بوی بد دهان، به دلیل وجود باکتری‌های فعال در پوسیدگی
  • حفره یا فرورفتگی قابل لمس روی سطح دندان: ممکن است با زبان احساس شود یا هنگام مسواک زدن قابل مشاهده باشد
  • التهاب یا تورم لثه در اطراف دندان آسیب‌دیده: گاهی با خونریزی لثه نیز همراه است

در موارد پیشرفته‌تر:

  • درد شبانه‌ای که با تغییر وضعیت سر تشدید می‌شود.
  • تورم گونه یا فک به دلیل گسترش عفونت
  • خروج چرک یا طعم تلخ در دهان

بیشتر بخوانید: مسواک نرم، متوسط یا سخت؛ کدام برای دندان بهتر است؟

علت پوسیدگی دندان

چندین عامل می‌توانند خطر پوسیدگی دندان را افزایش دهند:

  • مصرف زیاد قند و خوراکی‌های شیرین: مانند نوشابه، شیرینی، شکلات، کیک و حتی آب‌میوه‌های صنعتی
  • بهداشت نامناسب دهان و دندان: مسواک نزدن منظم، استفاده نکردن از نخ دندان، یا مسواک زدن اشتباه
  • کاهش ترشح بزاق: بزاق به شست‌وشوی طبیعی دهان کمک می‌کند. کاهش آن به دلیل استرس، کم‌آبی بدن یا مصرف برخی داروها، ریسک پوسیدگی را بالا می‌برد
  • استفاده از برخی داروها: مثل داروهای ضدافسردگی، آنتی‌هیستامین‌ها، داروهای فشار خون یا داروهای شیمی‌درمانی
  • عوامل ژنتیکی: بعضی افراد به طور طبیعی مینای ضعیف‌تری دارند یا میزان باکتری‌های خاص در دهان‌شان بالاست
  • سن بالا یا کودکی: کودکان به دلیل مصرف بیشتر مواد قندی و رعایت نکردن بهداشت دهان، و سالمندان به دلیل تحلیل لثه و خشکی دهان در معرض خطر هستند
  • رژیم غذایی نامناسب: کمبود کلسیم، ویتامین D، فسفر و سایر مواد معدنی می‌تواند سلامت دندان‌ها را به خطر اندازد
  • عادات دهانی نامناسب: مانند استفاده طولانی از بطری شیر در کودکان یا جویدن یخ و اشیای سفت

راه‌های درمان پوسیدگی دندان

درمان پوسیدگی دندان به میزان آسیب بستگی دارد:

  • فلورایدتراپی: در مراحل ابتدایی پوسیدگی که فقط مینای دندان درگیر شده، درمان با فلوراید به تقویت و بازسازی مینا کمک می‌کند. این کار معمولاً در مطب دندان‌پزشکی با استفاده از ژل یا وارنیش فلوراید انجام می‌شود.
  • پر کردن دندان: زمانی که حفره‌ای در دندان ایجاد شده، دندان‌پزشک با برداشتن بخش پوسیده و پر کردن آن با مواد کامپوزیتی یا آمالگام، شکل و عملکرد دندان را بازمی‌گرداند.
  • عصب‌کشی (روت کانال) : اگر پوسیدگی به مغز دندان رسیده باشد، باید عصب دندان خارج شده، کانال‌های داخلی پاک‌سازی و پر شود. این روش از کشیده شدن دندان جلوگیری می‌کند.
  • روکش دندان: برای دندان‌هایی که به شدت آسیب دیده‌اند، پس از ترمیم، روکش سرامیکی یا فلزی به کار می‌رود تا مقاومت و ظاهر دندان حفظ شود.
  • کشیدن دندان: در صورت تخریب کامل دندان و عدم امکان ترمیم، دندان باید کشیده شود تا از گسترش عفونت جلوگیری شود. در این موارد می‌توان از ایمپلنت یا بریج استفاده کرد.

بیشتر بخوانید: ۸ مرحله که برای استفاهد از نخ دندان باید رعایت کنید

مراقبت‌های خانگی و پیشگیرانه

با انجام اقدامات ساده اما مؤثر می‌توان از پوسیدگی دندان جلوگیری کرد:

  • مسواک زدن حداقل دو بار در روز با خمیر دندان فلورایددار، به‌ویژه قبل از خواب
  • استفاده روزانه از نخ دندان برای پاکسازی بین دندان‌ها از مواد غذایی گیر کرده
  • کاهش مصرف مواد قندی و خوراکی‌های چسبنده، به‌خصوص در میان وعده‌ها
  • نوشیدن آب کافی برای افزایش ترشح بزاق و شست‌وشوی طبیعی دهان
  • مراجعه منظم به دندان‌پزشک (حداقل هر شش ماه یک‌بار) برای چکاپ و جرم‌گیری
  • جویدن آدامس بدون قند برای تحریک بزاق، به‌ویژه پس از وعده‌های غذایی
  • استفاده از دهان‌شویه‌های ضدباکتریایی در صورت توصیه دندان‌پزشک
  • آموزش صحیح به کودکان برای مسواک زدن و نظارت بر انجام آن

بیشتر بخوانید: نخ دندان یا خلال دندان، کدامیک بهتر است؟

پوسیدگی دندان ؛ علائم، دلایل و درمان

چه زمانی باید به دندان‌پزشک مراجعه کرد؟

در صورت مشاهده هر یک از موارد زیر، بهتر است سریع‌تر به دندان‌پزشک مراجعه شود:

  • درد مداوم یا شدید در دندان، به‌ویژه هنگام جویدن یا در شب‌ها
  • حساسیت زیاد به سرما یا گرما که بیش از چند روز ادامه دارد
  • مشاهده تغییر رنگ، لکه، یا سوراخ روی دندان‌ها
  • تورم لثه یا صورت، که می‌تواند نشانه عفونت پیشرفته باشد
  • تب همراه با درد دندان یا ترشح چرک
  • خونریزی مکرر از لثه‌ها یا بوی بد دهان مداوم

خوددرمانی یا مصرف مسکن‌ها بدون تشخیص دندان‌پزشک ممکن است باعث پیشرفت بیماری و نیاز به درمان‌های پیچیده‌تر شود.

بیشتر بخوانید: چندوقت یکبار مسواک خود را عوض کنیم؟ روش درست نگهداری مسواک

لبخندی سالم با دندان‌هایی سالم

پوسیدگی دندان یکی از مشکلات شایع ولی قابل پیشگیری دهان و دندان است. با رعایت بهداشت مناسب، تغذیه سالم و مراجعه منظم به دندان‌پزشک می‌توان از بسیاری از عوارض آن جلوگیری کرد. سلامت دندان‌ها فقط به زیبایی لبخند مربوط نمی‌شود، بلکه نقش مهمی در سلامت عمومی، تغذیه و کیفیت زندگی دارد.

اگر دچار علائم اولیه پوسیدگی شده‌اید، مراجعه زودهنگام می‌تواند از درمان‌های پیچیده‌تر جلوگیری کند و سلامت دندان‌هایتان را حفظ کند. فراموش نکنید که پیشگیری همیشه آسان‌تر و کم‌هزینه‌تر از درمان است.

دکمه بازگشت به بالا